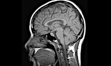
Imagen de los trastornos relacionados con el estado de ánimo y la ansiedad (IMARD)
“Queremos determinar el mejor tratamiento para cada persona utilizando neuroimagen”
Los trastornos del estado de ánimo y de ansiedad están entre las principales causas de discapacidad. Aproximadamente una de cada cuatro personas sufrirá uno de estos trastornos a lo largo de su vida. Y, desafortunadamente, los tratamientos disponibles hoy en dÃa solo ayudan a la mitad de los afectados, siendo a menudo necesario recurrir al ensayo y error para encontrar el tratamiento adecuado. Por ello, necesitamos indicadores fiables, objetivos y válidos que nos permitan predecir desde el principio la respuesta del cuerpo a un tratamiento. Solo de esta manera podremos recomendar el tratamiento correcto a cada paciente.



La investigación del grupo IMARD tiene dos objetivos: identificar los cambios en el cerebro implicados en los trastornos del estado de ánimo y de ansiedad, y determinar los mecanismos cerebrales que predicen quién responderá mejor o peor a diferentes tratamientos. Para lograr estos objetivos, el grupo utiliza diversas técnicas de neuroimagen (como la resonancia magnética cerebral), que a menudo se combinan con técnicas de inteligencia artificial.







